MICROBIOLOGÍA
1. MICROORGANISMOS
Los microorganismos (MO) son un grupo de organismos muy variados
que comparten su pequeño tamaño, por lo que se necesita un
microscopio (óptico o electrónico) para verlos.
Entre los microorganismos encontramos formas celulares (bacterias,
hongos, protozoos) y acelulares (virus, viroides, priones).
La microbiología es la ciencia que estudia todos los aspectos
relacionados con los MO: diversidad, biología, ecología, evolución,...
Existen cinco grupos de MO no relacionados entre sí: bacterias, algas,
hongos, protozoos y virus (y otras estructuras).
Las bacterias son procariotas; las algas, hongos y protozoos,
eucariotas; y los virus (y demás), acelulares.
1.1. CARACTERÍSTICAS DE LOS MICROORGANISMOS
La mayoría de las características que comparten los MO se deben a su
pequeño tamaño.
A medida que disminuye el volumen de un cuerpo, la proporción de
área superficial en contacto con el medio se hace mayor, y viceversa.
El pequeño volumen permite que enzimas y reactivos estén muy
próximos, acelerando las reacciones metabólicas.
Su elevada capacidad de intercambiar nutrientes y desechos
con el medio hace que alteren rápidamente su entorno.
Su elevado metabolismo les permite una reproducción
acelerada, pudiendo una bacteria llegar a reproducirse cada 20
minutos.
2. CLASIFICACIÓN DE LOS
MICROORGANISMOS
La Tierra tiene unos 4.540 millones de años y la vida más antigua
(formada por MO similares a bacterias), unos 3.800 millones de años.
Las cianobacterias y la fotosíntesis aparecieron probablemente unos
1.000 millones de años después, contribuyendo a una enorme
diversificación microbiana.
Actualmente, la clasificación de los seres vivos se basa en buena
parte en el estudio de los componentes moleculares de los organismos.
Estudiando las secuencias del ARNr en numerosos organismos se ha
logrado establecer el árbol evolutivo de los seres vivos.
Este árbol está formado por tres grandes ramas denominadas
dominios: Eubacteria (verdaderas bacterias), Archaea
(arqueobacterias) y Eukarya (eucariotas).
Todos ellos derivan de un antepasado común, más sencillo,
denominado LUCA (Last Universal Common Ancestor), el último
antepasado común universal.
3. VIRUS
Los primeros indicios de virus datan de finales del siglo XIX, cuando se
vio que los extractos de plantas de tabaco, infectadas por la
enfermedad del mosaico, seguían siendo patógenos tras atravesar
filtros para bacterias.
Se empezó a llamar virus (veneno) a estos patógenos al creerse que
era un líquido.
En 1935, Wendell Stanley, aisló el virus del mosaico del tabaco,
permitiendo sus estudio. Las técnicas actuales permiten verlos y
estudiarlos en profundidad.
Los virus son formas acelulares microscópicas, formados por un
ácido nucleico y una envoltura proteica. Son parásitos
intracelulares obligados, ya que no pueden reproducirse por sí
mismos.
Fuera de una célula (forma extracelular), la partícula vírica se
denomina virión, es inerte y similar a un mineral.
Dentro de una célula (forma intracelular), el ácido nucleico se libera,
se inserta en el genoma celular y controla su maquinaria metabólica
para inducir la fabricación de nuevos virus.
3.1. ESTRUCTURA DE LOS VIRUS
ÁCIDO NUCLEICO
Mientras los procariotas y eucariotas presentan siempre ADN como
material genético, los virus tienen ácidos nucleicos con características
peculiares:
Puede ser ADN o ARN, pero nunca ambos.
Puede ser monocatenario (mc, ss) o bicatenario (bc, ds).
Puede ser circular o lineal.
Puede constar de una única molécula o de varias de ellas
(genoma fragmentado) como en el virus de la gripe.
Pueden llevar una única copia o dos copias idénticas de su
genoma (retrovirus).
Pueden tener cadenas positivas o plus (+) (el genoma vírico
tiene la misma polaridad que el ARNm vírico producido en la
infección), o cadenas negativas o minus (-) (la secuencia de
bases es complementaria del ARNm). Los ácidos nucleicos
bicatenarios son a la vez positivos y negativos (+/-).
Los ácidos nucleicos víricos contienen bases no habituales,
como la 5-hidroximetilcitosina (en lugar de C) y el 5-
hidroximetiluracilo (en lugar de U).
CÁPSIDA
La cápsida rodea y protege al ácido nucleico. Juntos forman la
nucleocápsida vírica.
La cápsida está formada por subunidades proteicas llamadas
capsómeros, que pueden componerse de un único tipo de proteína o,
más habitual, de varias cadenas peptídicas.
MORFOLOGÍA DE LA CÁPSIDA
La forma de la cápsida es variable, pero puede clasificarse en tres tipos
básicos:
Helicoidales: cilindros huecos, rígidos o flexibles, con
capsómeros de un único tipo de proteína.
Poliédricas: cápsidas con forma de poliedro regular,
normalmente un icosaedro. Con capsómeros formados por 3
proteínas diferentes.
Complejas: cápsidas con estructuras adicionales (colas, vainas,
fibras, espículas) con funciones específicas. Tienen cápsida
(cabeza) icosaédrica o prismática y una cola cilíndrica o muy
compleja.
ENVOLTURA O CUBIERTA
Algunos virus presentan una envoltura membranosa
que rodea la
cápsida y está formada por:
Una bicapa lipídica obtenida al abandonar a la célua huésped.
Proteínas: codificadas por el genoma viral. Muchas son
glucoproteínas, sobresalen de la membrana formando
espículas y tienen carácter antigénico.
Esta envoltura les permite a los virus que la poseen reconocer a la
célula huésped y penetrar en ella.
ENZIMAS
Aunque los viriones son metabólicamente inertes, algunos de ellos
llevan enzimas para facilitar el proceso de infección.
Neuraminidasas: para romper enlaces glucosídicos de
glucoproteínas y glucolípidos de las membranas del hospedador.
Lisozima: degrada la pared bacteriana y rompe la célula al
terminar la infección.
Polimerasas: para la transcripción del genoma vírico a ARNm.
Retrotranscriptasa o transcriptasa inversa: transcribe el ARN
vírico a ADN intermediario.
3.2. CLASIFICACIÓN DE LOS VIRUS
Aunque existe una clasificación oficial ICTV (Comité Internacional de
Taxonomía de Virus), existen diversos criterios de clasificación:
1.
Según la estructura de la cápsida:
Helicoidales: cápsida helicoidal que envuelve al ácido
nucleico. Rabia, Ébola
, mosaico del tabaco.
Poliédricos: cápsida poliédrica, generalmente icosaédrica.
Adenovirus y poliovirus.
Complejos: estructura muy compleja. Así, los
bacteriófagos, presentan una cápsida poliédrica (cabeza),
una cola cilíndrica y, muchas veces, una placa basal con
fibras articuladas, espículas y ganchos de anclaje a la
célula huésped. Los poxvirus tienen una estructura
compleja diferente y aún no bien conocida.
2.
Según la presencia o ausencia de envoltura:
Virus envueltos: tienen envoltura. Pueden ser
helicoidales con envoltura (gripe) o poliédricos con
envoltura (herpes simple).
Virus desnudos: carecen de envoltura.
3.
Según la célula infectada:
Bacteriófagos (fagos
): infectan a bacterias.
Virus animales: infectan células animales.
Virus vegetales: infectan células vegetales.
4.
Según el ácido nucleico:
Virus de ADN: ds (doble cadena) o ss (cadena sencilla).
Virus de ARN: ds, ss, +, - con o sin retrotranscriptasa.
3.3. CICLO VIRAL
Un virión debe invadir una célula huésped para poder multiplicarse. El
ciclo viral es el conjunto de procesos por el que pasa el virión hasta dar
lugar a otros muchos viriones idénticos. Puede dividirse en varias fases:
fijación o adsorción, penetración y descapsidación, biosíntesis,
ensamblaje y liberación.
a.
Fijación o adsorción: los viriones colisionan por azar con una
célula huésped y se fijan a su superficie gracias a receptores
celulares complementarios de moléculas de la cápsida o
envoltura víricas. Ciertos virus animales y vegetales no
tienen sitios fijos de unión.
b.
Penetración y descapsidación: consiste en la entrada total o
parcial de la estructura del virión. Depende del tipo de
virus y de hospedador.
Virus envueltos: penetran por fusión de la cubierta
vírica con la membrana celular, liberando la cápsida
desnuda al citoplasma; o pueden entrar por endocitosis,
formando un endosoma que liberará después la cápsida.
Virus desnudos: entran en la célula por penetración
directa, liberando el ácido nucleico al interior celular y
quedando normalmente la cápsida fuera.
La descapsidación es la separación del ácido nucleico de la
envoltura proteica. Como se ha visto, depende del tipo de
penetración, pudiendo ser simultánea o posterior a la
misma.
c.
Biosíntesis: en esta fase se dan la replicación del
ácido nucleico, la transcripción a ARNm y la traducción para
formar proteínas víricas (capsómeros, enzimas, etc). Mientras
esto sucede, la célula puede estar haciendo sus funciones
normales, por lo que a este periodo se le llama eclipse.
La replicación depende del tipo de ácido nucleico. En virus con
ADN es una copia simple. En virus con ARN (retrovirus) puede
llevarse a cabo mediante una retrotranscriptasa. En todo caso,
el ADN vírico formado se integrará en el ADN celular y se
duplicará, transcribirá y traducirá por los mecanismos habituales
en la célula.
El proceso de biosíntesis puede realizarse en el citoplasma o en
el núcleo, según la célula infectada. Toda la energía y materiales
son aportados por la célula huésped.
d.
Ensamblaje o encapsidación: los distintos componentes
víricos se autoensamblan, formando nuevos viriones en el
interior celular.
e.
Liberación: el virus sale al exterior celular.
Virus desnudos: se liberan por lisis, rompiendo la
membrana celular con enzimas específica, con lo que la
célula huésped muere.
Virus envueltos: se liberan por exocitosis o gemación,
llevándose parte de la membrana celular para formar la
nueva envoltura.
3.4. CICLO LÍTICO Y LISOGÉNICO
Según la duración del periodo de eclipse se distinguen dos tipos de
ciclos virales: lítico y lisogénico.
El ciclo lítico, virulento o normal, es el descrito y conlleva
generalmente la muerte celular. Estos virus se denominan virus
virulentos.
En el ciclo lisogénico, temperado o avirulento los virus no salen al
exterior y no causan la muerte celular. Son virus atenuados,
lisogénicos o atemperados.
Los virus lisogénicos se encuentran el el interior celular en forma de
provirus o profagos, es decir, su ácido nucleico está incorporado al
ADN celular y se multiplica con él. La célula se llama célula lisogénica.
El profago puede permanecer latente indefinidamente o durante un
cierto tiempo, activándose entonces el ciclo lítico. Durante el ciclo
lisogénico la célula no puede ser infectada por otro virus del mismo tipo:
inmunidad a la superinfección.
Virus lisogénicos son los bacteriófagos y ciertos virus animales como
los de las verrugas y algunos retrovirus (virus del SIDA).
4. VIROIDES Y PRIONES
Viroides y priones son los agentes infecciosos más pequeños
conocidos.
4.1. VIROIDES
Son moléculas pequeñas de ARN de cadena simple, circular y
desnudo. Carecen de proteínas o lípidos. Se consideran una etapa
primitiva de los virus.
Los viroides no codifican proteínas. Se desconoce su forma de
actuación, pero parece ser que interfieren en el “splicing” de las
células eucariotas.
Hasta ahora se conocen unos 300 viroides, todos patógenos de
vegetales, como el del tubérculo filiforme de la patata, del
exocortis
de los cítricos o del atrofiamiento del tomate.
4.2. PRIONES
Los priones (de protein infection) son glucoproteínas de estructura
anómala que ocasionan enfermedades neurodegenerativas
transmisibles.
La estructura primaria de los priones es idéntica a la de la proteína
normal, pero en su plegamiento se altera su estructura secundaria y
terciaria, formando una proteína anómala que tiene la capacidad de
inducir esta anomalía en las proteínas no priónicas.
Los priones afectan al sistema nervioso central, ocasionando
encepalopatías espongiformes en humanos y ganado.
Prácticamente todos los priones conocidos afectan a mamíferos:
enfermedad de Creutzfeldt-JaKob, síndrome de
Gerstmann–Sträussler–Scheinker y kuru en humanos; enfermedad
de las vacas locas (encefalopatía espongiforme bovina) en vacas;
scrapie o tembladera en ovejas y cabras, etc.
Se sospecha que tienen un papel en el Parkinson, el Alzheimer, la
esclerosis lateral amiotrófica y otras.
Para ir a donde no se sabe hay que ir por donde no se sabe.” San Juan de la Cruz
“It must be a strange world not being a scientist, going through life not knowing--or
maybe not caring about where the air came from, where the stars at night came from or
how far they are from us. I WANT TO KNOW” Michio Kaku
“Nullius in verba” Robert Boyle, Christopher Wren y Robert Hooke
Comparativa de los virus zoonóticos más peligrosos del último siglo
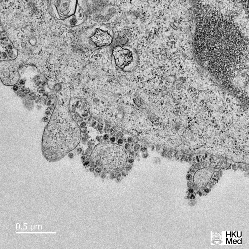
Primera imagen del coronavirus de 2019 saliendo
de su célula huésped.
Vídeo 3D del SARS-Cov-2 a nivel atómico..
“Rams”, una emotiva película islandesa sobre la
tembladera.
Niña en fase terminal de viruela.
Historia de la viruela.
Poxvirus
Virus gigante con CRISPR
En 2019 se descubrió que el virus
gigante mimivirus posee su propio
sistema inmune CRISPR. El
mimivirus utiliza este sistema para
defenderse de otros virus parásitos.
Los investigadores comprobaron que
este CRISPR funcionaba cuando era
transferido a bacterias..
Nature
12 letras mortales
En 2020 se descubrió una secuencia de
12 bases de ARN del SARS-CoV-2 que
podrían ser responsables de su
peligrosidad. Son “ccu cgg cgg gca”, que
correspionde a la secuencia de aa “pro arg
arg ala”, que es la proteína furina.
El País
Priones en alta resolución
En 2021, usando electromicroscopía
criogénica, se logró una imagen con
resolución atómica de una proteína
priónica. Se espera que el detalle
conseguido permita el estudio más
preciso de los priones y su tratamiento.
Neuro Science News
Comunicación entre virus
En 2022 se descubrió que los bacteriófagos
(virus que parasitan bacterias) tienen un
sistema de comunicación entre ellos que les
permite controlar las infecciones.
CSIC
Nuevos viroides
En 2023, un equipo internacional de
científicos descubrió más de 20.000
nuevas especies de estos agentes
mínimos, incluyendo ejemplos de
novedosos ARNs infecciosos gigantes,
híbridos de virus de ARN lineal y viroides
circulares.
CSIC