BIOLOGÍA Y GEOLOGÍA

INMUNOLOGÍA

1. EL SISTEMA INMUNITARIO

El entorno de cualquier ser vivo está habitado por multitud de agentes infecciosos que pueden causar enfermedades y daños diversos a los organismos. Por ello, los seres vivos han desarrollados mecanismos de defensa capaces de dotar de inmunidad o resistencia frente a esos agentes infecciosos. En los seres humanos, la principal línea de defensa la constituye el sistema inmunitario. El sistema inmune es un conjunto de órganos, tejidos, células y moléculas, presentes por todo el organismo y capaces de hacer frente a los agentes infecciosos y sustancias extrañas. Las sustancias extrañas al organismo se denominan antígenos y la respuesta del cuerpo, respuesta inmunitaria o respuesta inmune. La respuesta inmunitaria se basa en la tolerancia, capacidad del organismo para distinguir lo propio de lo extraño. Cuando esta respuesta está alterada y el sistema inmune ataca a moléculas del propio organismo, aparecen las enfermedades autoinmunes.

1.1.COMPLEJO PRINCIPAL DE HISTOCOMPATIBILIDAD

Toda célula presenta en su superficie glucolípidos y glucoproteínas que el sistema inmune reconoce como propios, son las moléculas del complejo principal de histocompatibilidad (CMH o MHC siglas inglesas), un conjunto de genes del brazo corto del cromosoma 6. En los seres humanos hay dos clases de MHC: Los genes del MHC-I, que codifican glucoproteínas MHC-I, presentes en todas las células del individuo, salvo eritrocitos y células germinales. Los genes del MHC-II, que codifican glucoproteínas del MHC-II, que sólo aparecen en células presentadoras de antígeno, como algunos linfocitos y otros leucocitos. Tanto la clase I como la clase II son necesarias en la respuesta inmunitaria adquirida. Además, hay una clase III: citocinas y proteínas del complemento.

1.2. ANTÍGENOS

Un antígeno es cualquier molécula reconocida como extraña por el sistema inmune y capaz de desencadenar una respuesta inmune específica, con producción de anticuerpos. Los antígenos suelen ser proteínas o polisacáridos de células extrañas, virus, bacterias, hongos, protozoos, etc. O bien toxinas producidas por éstos.

1.3. INMUNIDAD Y RESPUESTA INMUNITARIA

La inmunidad es un estado de protección o resistencia frente a ciertas enfermedades, adquirida por las reacciones de defensa del sistema inmune frente a antígenos específicos. La respuesta inmunitaria es el conjunto de esas reacciones de defensa. Existen dos tipo de respuesta inmune: a. Respuesta inmune innata, natural o inespecífica: es la primera línea de defensa frente a infecciones. Sus mecanismos y células están ya presentes antes de la infección y reconoce características típicas de patógenos y ausentes en organismos complejos. Es inmediata y carece de memoria, por lo que no produce inmunidad a largo plazo. b. Respuesta inmune adquirida, adaptativa o específica: es la segunda línea de defensa. Son mecanismos y células que sólo se activan tras la exposición a un agente infeccioso. Es específica (reconoce de forma individual los antígenos) y tiene memoria, por lo que otorga inmunidad (la respuesta a las segundas y sucesivas infecciones es más rápida y eficaz). Puede ser humoral (mediada por linfocitos B) y celular (mediada por linfocitos T).

1.4. CÉLULAS DEL SISTEMA INMUNE

Todas las células del sistema inmune se forman a partir de células madre pluripotentes hematopoyéticas presentes en la médula ósea y el hígado fetal. A partir de dichas células madre se originan dos líneas celulares: a. Línea mieloide: células de la respuesta inmune innata. Megacariocitos (que darán las plaquetas), mastocitos, basófilos, eosinófilos, neutrófilos y monocitos (que darán macrófagos y células dendríticas). b. Línea linfoide: células de la respuesta inmune adquirida. Incluye las células NK (natural killer), comunes a la respuesta innata; los linfocitos B (que formarán células plasmáticas) y los linfocitos T. Para que el sistema inmune funcione correctamente, es imprescindible que sus células se comuniquen entre sí. Para ello utilizan mensajeros químicos denominados citoquinas o citocinas. Estas moléculas controlan procesos como la proliferación y diferenciación celular, quimiotaxis, hematopoyesis, inflamación, producción de anticuerpos, etc.

2. RESPUESTA INMUNE INNATA

Llamada también natural e inespecífica. Es la primera en actuar, la más rápida y la más primitiva desde el punto de vista evolutivo. La forman barreras y mecanismos defensivos que actúan desde el primer momento de la infección, a la que pueden eliminar o controlar hasta que actúe la respuesta adquirida. Consta de barreras externas, el sistema del complemento, proteínas antimicrobianas, la reacción inflamatoria y células de la inmunidad natural.

2.1. BARRERAS EXTERNAS

Tratan de impedir la entrada de los patógenos. Formadas por: La piel: prácticamente impermeable a los MO si está intacta; vulnerable en quemaduras o heridas. Presenta secreciones que ayudan a su labor defensiva: sudor (con ácidos lácticos y grasos de bajo pH) y secreciones sebáceas. Las mucosas: epitelios húmedos que sustituyen a la piel en los orificios corporales (boca, ojos, digestivo, respiratorio, urogenital). Produce secreciones como saliva y lágrimas (con lisozima, enzima antibacteriano) y mucus, que atrapa a los MO y contiene inmunoglobulina A y defensinas (péptidos antimicrobianos). Digestivo: el pH ácido del estómago y las enzimas del intestino delgado destruyen MO. Temperatura corporal: la fiebre moderada combate las infecciones. Hierro en sangre: si disminuye, inhibe le crecimiento de las bacterias. Flora bacteriana autóctona: la piel y las mucosas están recubiertas de una microbiota, una serie de MO que protegen de patógenos.

2.2.EL SISTEMA DEL COMPLEMENTO

El sistema del complemento complementa la actuación de los anticuerpos. Está formado por unas 30 glucoproteínas (C1, C2, C3,...) y fragmentos que viajan por la sangre. Se forman en el hígado y por los macrófagos a nivel local. Cuando aparece un antígeno el sistema se activa y se desencadena una activación secuencial en cascada, en la que unas proteínas activan a otras. Esta cascada del complemento amplifica la señal inicial. Se unen de forma inespecífica a los antígenos o a los complejos antígeno-anticuerpo. El resultado final es que los fagocitos son atraídos (opsonización) y las células extrañas destruidas (citolisis por complejos de ataque a membranas).

2.3. PROTEÍNAS ANTIMICROBIANAS

Incluye la lisozima, las defensinas, las proteínas del sistema del complemento y los interferones. Los interferones (IFN) son una veintena de glucoproteínas que interfieren en las infecciones víricas y en tumores. Protegen a las células sanas e impiden la replicación vírica en las infectadas y la proliferación de células tumorales.

2.4. REACCIÓN INFLAMATORIA

Es una reacción local ante una infección. Dificulta la proliferación de patógenos, favorece su destrucción y estimula la reparación de tejidos dañados. Consta de: Vasodilatación: aumenta el riego sanguíneo de la zona afectada con calor, rubor (rojez), edema (hinchazón) y dolor. Favorece la llegada de leucocitos. Atracción de leucocitos: la liberación de ciertas sustancias locales atrae a macrófagos, neutrófilos y linfocitos. Formación de coágulos en capilares: impiden la diseminación por la sangre de los patógenos.

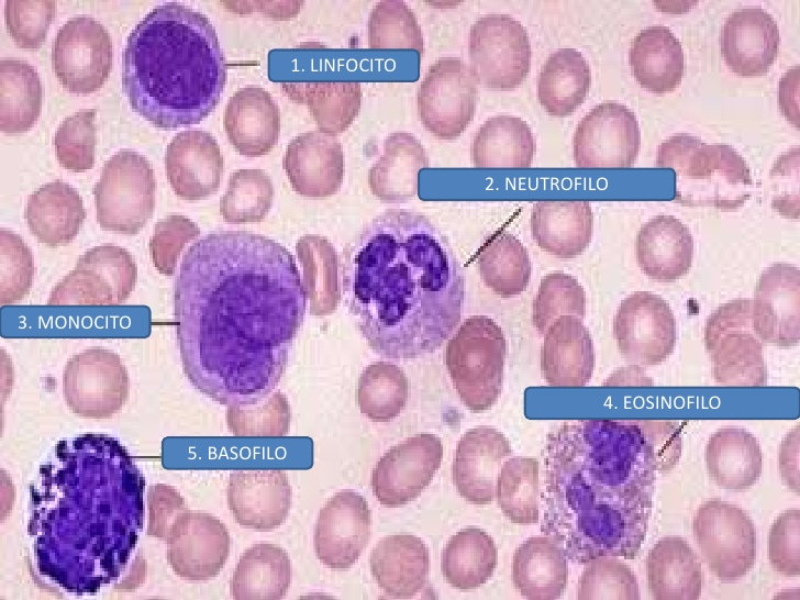
2.5. CÉLULAS DEL SISTEMA INMUNE INNATO

Son las células de la inmunidad natural no específica, aunque algunas intervienen en la inmunidad adquirida. 1. CÉLULAS DE LA REACCIÓN INFLAMATORIA Plaquetas: son fragmentos de citoplasma de megacariocitos sin núcleo. Participan en la coagulación sanguínea y liberan serotonina, que contribuye a la reacción inflamatoria y reparación de tejidos. Mastocitos o células cebadas: se hallan en tejidos (conjuntivo, mucosas). Contienen gránulos con histaminas, que contribuyen a la reacción inflamatoria y a las alergias. Leucocitos basófilos: con núcleo multilobulado, también contienen histaminas y leucotrienos, que contribuyen a la reacción inflamatoria. 2. FAGOCITOS Son células con movimiento ameboide (con pseudópodos) y fagocíticos (destruyen sustancias extrañas y células envejecidas o tumorales). Incluyen a varios tipos de leucocitos: eosinófilos, neutrófilos y monocitos (con sus derivados: macrófagos y células dendríticas). Leucocitos eosinófilos: se tiñen con colorantes ácidos. Núcleo lobulado y citoplasma con gránulos. Intervienen sobre todo en parasitosis. Leucocitos neutrófilos: se tiñen poco. Núcleo polilobulado. Citoplasma con gránulos. Acuden al lugar de la infección, atravesando los capilares (diapedesis) y fagocitando patógenos como los macrófagos. Dan lugar a pus. Monocitos: con un gran núcleo en herradura. Se hallan en sangre y linfa, escapando por diapedesis y convirtiéndose en macrófagos y células dendríticas. Macrófagos: derivados de los monocitos, junto a los neutrófilos actúan por fagocitosis contra patógenos, células envejecidas y células tumorales. Células dendríticas: derivan de monocitos que se hallan en tejidos expuestos a patógenos (piel, mucosas, pulmones). Al encontrar virus o bacterias, los fagocitan, migran al bazo o ganglios linfáticos, y se transforman en células dendríticas, con aspecto ramificado. Entonces actúan como células presentadoras de antígenos ante los linfocitos T. 3. LINFOCITOS NK Los linfocitos NK (natural killer) carecen de especificidad y memoria. Atacan a células tumorales o infectadas por virus, a las que obligan a la apoptosis (suicidio celular).

3. RESPUESTA INMUNITARIA ADAPTATIVA

Llamada también adquirida y específica, actúa cuando la innata no ha sido suficiente. Es muy específica, ya que ataca selectivamente a los antígenos. Más lenta, tarda aproximadamente una semana en elaborar dos tipos de respuesta: Respuesta celular: mediada por linfocitos T. Destruyen los MO que presentan el antígeno detectado, así como las células propias infectadas por ellos (virus). Respuesta humoral: mediada por linfocitos B, que fabrican anticuerpos específicos de los antígenos detectados. Coopera con el sistema del complemento.

3.1. EL SISTEMA LINFÁTICO

El linfático es un circulatorio secundario formado por vasos linfáticos y ganglios linfáticos. Interviene en el drenaje de tejidos, la absorción de lípidos en el digestivo y en la defensa. Contiene células como los linfocitos, macrófagos y células dendríticas. Los linfocitos se forman en la médula ósea y el hígado fetal. Luego maduran en los órganos linfoides primarios y pasan a los órganos linfoides secundarios. Órganos linfoides primarios o centrales: son el timo (donde maduran los linfocitos T) y la médula ósea roja y el hígado fetal (donde maduran los linfocitos B. En las aves maduran en la Bolsa de Fabricio, de ahí su nombre). Órganos linfoides secundarios o periféricos: es donde los linfocitos interaccionan por primera vez con un antígeno y se desencadena la respuesta inmunitaria adaptativa. LINFOCITOS T Se producen en la médula ósea y maduran en el timo, donde adquieren receptores de membrana llamados TCR. Así, se originan dos estirpes de linfocitos T: CD4 + y CD8 + (de Cluster of Differentiation: grupo de diferenciación). Los principales tipos de linfocitos T son: a. Linfocitos T H : helpers, auxiliares o cooperadores. Son CD4 + y se activan ante células presentadoras de antígeno. A su vez, estos linfocitos activan a otros linfocitos, tanto T como B. b. Linfocitos T C o citotóxicos: son CD8 + . Se activan ante células tumorales o infectadas por virus, a las que destruyen. Responsables de la hipersensibilidad retardada y del rechazo a injertos. c. Linfocitos T reg (reguladores) y T S (supresores): son CD4 + y CD8 + , respectivamente. Suprimen la respuesta inmunitaria una vez destruido el antígeno y previenen enfermedades autoinmunes. LINFOCITOS B Se forman en el hígado fetal y luego en la médula ósea, donde maduran. Adquieren receptores de membrana llamados BCR, que reconocen antígenos, los fagocitan y los presentan a los linfocitos T H que, a su vez, activan a los linfocitos B, que se convierten en células plasmáticas productoras de anticuerpos.

3.2. RESPUESTA PRIMARIA Y SECUNDARIA

El primer contacto con el antígeno da lugar a la respuesta primaria, con producción de anticuerpos. Parte de los linfocitos T H , T C y B generados permanece “alerta” durante varios años o toda la vida, son los linfocitos de memoria. Si pasado un tiempo se contacta con el mismo antígeno, se da la respuesta secundaria, mucho más rápida y eficaz, que, normalmente, impide la infección. Se ha generado inmunidad.

3.3. CARACTERÍSTICAS DE LA RESPUESTA ADAPTATIVA

Especificidad: los linfocitos T H , T C y B originados en la respuesta adaptativa tienen receptores que son inmunoglobulinas específicas del antígeno reconocido. Los anticuerpos producidos son también específicos de dichos antígenos. Tolerancia: según la hipótesis de la selección clonal, el sistema inmune es tolerante frente a las células propias porque, durante el desarrollo embrionario, se destruyen todos los linfocitos que producen anticuerpos frente a antígenos propios. Si este mecanismo falla, aparecen enfermedades autoinmunes. Memoria: la respuesta primaria produce dos tipos de poblaciones: linfocitos efectores (que ejecutan la respuesta adaptativa humoral y celular) y los linfocitos de memoria (que producen inmunidad y originan una respuesta secundaria rápida y eficaz).

4. ANTICUERPOS

Los anticuerpos o inmunoglobulinas (Ig) son glucoproteínas fabricadas por las células plasmáticas, que derivan de los linfocitos B cuando los activa un antígeno. Los anticuerpos se unen específicamente al antígeno que indujo su formación. Las inmunoglobulinas se hallan en sangre, linfa, secreciones (saliva, mucus, leche) y en la membrana de los linfocitos B. La parte del antígeno que se une al anticuerpo se denomina epítopo o determinante antigénico. Los antígenos suelen tener varios epítopos, por lo que activan diferentes linfocitos B y muchos anticuerpos diferentes.

4.1. ESTRUCTURA DE LAS INMUNOGLOBULINAS

Los monómeros de Ig tienen forma de “Y”. Una Ig puede estar formada por 1, 2 o 5 monómeros. Cada uno está formado por cuatro cadenas polipeptídicas: dos cadenas ligeras idénticas (L) y dos cadenas pesadas idénticas (H), unidas por enlaces no covalentes y covalentes (puentes disulfuro). Tanto las cadenas pesadas como las ligeras tienen, en el extremo amino terminal, una región variable (V H y V L , respectivamente) que difiere mucho entre Ig. En el extremo carboxilo terminal presentan una región constante (C H y C L , respectivamente) muy similar en las distintas Ig. Las Ig se unen específicamente a los antígenos en un lugar situado en la zona variable, el parátopo.

4.2. TIPOS DE INMUNOGLOBULINAS

En los vertebrados superiores hay 5 clases de Ig: IgG, IgA, IgM, IgD e IgE.

4.3. REACCIÓN ANTÍGENO-ANTICUERPO

Cuando se ponen en contacto un antígeno con el anticuerpo específico, reaccionan uniéndose mediante un enlace no covalente entre la zona específica de la inmunoglobulina (parátopo) y los determinantes antigénicos (epítopos) de la molécula de antígeno. La combinación del anticuerpo con el antígeno desencadena una serie de procesos capaces de neutralizar y eliminar a una sustancia extraña. Las reacciones más importantes entre antígeno y anticuerpo son las siguientes: precipitación, opsonización y fagocitosis, neutralización de MO y sus toxinas, aglutinación y activación del complemento.

5. LA MEMORIA INMUNE

La característica de memoria del sistema inmune aporta inmunidad a los organismos, es decir, la capacidad de resistir las infecciones.

5.1. INMUNIDAD INNATA Y ADQUIRIDA

Inmunidad innata: es inespecífica, carece de memoria, está presente antes del contacto con antígenos y no aumenta por la exposición a los mismos. Inmunidad adquirida o adaptativa: es específica, produce memoria e inmunidad, se activa sólo en presencia de antígenos y se vuelve más intensa tras la exposición a éstos. Puede adquirirse de forma natural al entrar en contacto con antígenos durante una infección (activa) o por los anticuerpos que pasan de la madre al feto (pasiva). También puede adquirirse de forma artificial mediante vacunas (activa) y sueros (pasiva).

5.2. INMUNIDAD ACTIVA Y PASIVA

Gracias a los conocimientos adquiridos del estudio del sistema inmune, actualmente pueden dotarse a los organismos de protección frente a infecciones mediante inmunización. La inmunización pretende aumentar la eficacia del sistema inmunitario frente a infecciones. Puede ser activa y pasiva. A. INMUNIZACIÓN ACTIVA Es la vacunación, que induce la inmunidad al inyectar uno o más antígenos en el organismo. Es un método preventivo de enfermedades infecciosas. Una vacuna es una preparación destinada a generar inmunidad adquirida contra una enfermedad, mediante la estimulación de la producción de anticuerpos. Normalmente una vacuna contiene un agente que se asemeja a un microorganismo causante de la enfermedad y a menudo se hace a partir de formas debilitadas o muertas del microbio, sus toxinas o una de sus proteínas de superficie. La vacuna produce una respuesta primaria, con formación de linfocitos B y T específicos y de memoria. Cuando el organismo se exponga de nuevo al mismo antígeno, se dará una respuesta secundaria, más rápida y eficaz. Existen diferentes tipos de vacunas: Atenuadas e inactivas: formadas por MO tratados para ser inocuos (atenuadas) o muertos pero inmunógenos (inactivas). De antígenos purificados: formadas por subunidades de antígenos purificados o por toxoides, toxinas inactivas. De antígenos sintéticos: vacunas con antígenos sintetizados mediante las técnicas del ADN recombinante. Vectores virales: en experimentación. Serían vacunas con virus que lleven genes que codifican para antígenos microbianos. Vacunas de ADN: con plásmidos bacterianos que contienen genes de antígenos. Vacunas de ARN: aunque se estudian desde los años 90 del siglo pasado, hasta 2020 no se ha aprobado ninguna, y ello por la urgencia de la pandemia de COVID-19 . Así se fabrican . B. INMUNIZACIÓN PASIVA Es la sueroterapia, consistente en la inyección de anticuerpos específicos o de linfocitos T activados para luchar contra una determinada enfermedad. Es un método curativo, al contrario que las vacunas, no genera memoria y sólo se mantiene mientras el anticuerpo permanezca en el individuo. Se utiliza frente a toxinas letales (tetánica, botulínica) y frente a venenos.
E
Para ir a donde no se sabe hay que ir por donde no se sabe.” San Juan de la Cruz “It must be a strange world not being a scientist, going through life not knowing--or maybe not caring about where the air came from, where the stars at night came from or how far they are from us. I WANT TO KNOW” Michio Kaku “Nullius in verba” Robert Boyle, Christopher Wren y Robert Hooke
Mas100cia @Mas100Cia Las 10 vacunas que más vidas humanas han salvado
Descargar póster en PDF
Myxococcus xanthus “devorando” a una colonia de E. coli.
Jenner y el descubrimientos de las vacunas
Cómo lavarse las manos correctamente
Proteína IgG1. Cadenas ligeras en rojo, pesadas en gris, puentes disulfuro entre cadenas en amarillo, oligosacáridos en gris oscuro.
Macrófago