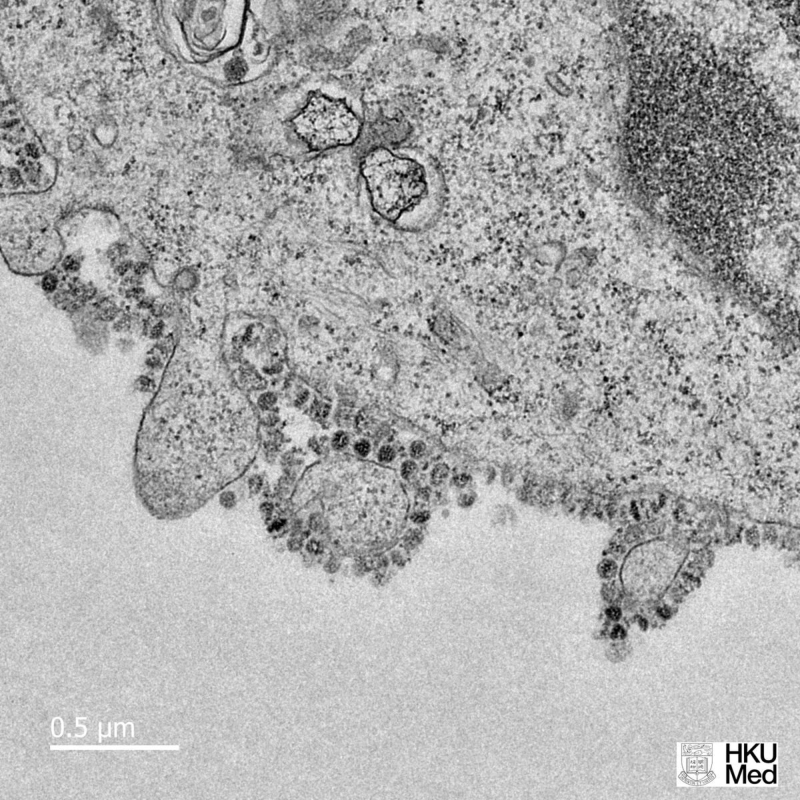
Primera imagen del coronavirus de 2019 saliendo de su célula huésped.
LA SALUD Y LA ENFERMEDAD EN EL SER HUMANO
1. SALUD Y ENFERMEDAD
Los conceptos de salud y enfermedad son difíciles de
precisar.
La clásica definición de la Organización Mundial de la
Salud (OMS) indica que: la salud es un estado de
completo bienestar físico, mental y social, y no
solamente la ausencia de enfermedades.
A efectos prácticos ese concepto es inalcanzable, por lo
que podemos definir la salud como la ausencia de
enfermedad y a la enfermedad como un mal
funcionamiento de algún aparato o sistema.
La enfermedad sería un trastorno del cuerpo o la
mente que origina una alteración de las funciones
vitales.
Las enfermedades pueden tener causas muy diversas,
pero pueden agruparse en dos tipos: infecciosas y no
infecciosas.
Las infecciosas son provocadas por un agente
patógeno y la mayoría son transmisibles.
Las no infecciosas tienen un origen diferente y no son
transmisibles nunca.
2. ENFERMEDADES INFECCIOSAS
Son enfermedades provocadas por algún agente
patógeno (vivo o no) que se introduce y multiplica en
el interior del cuerpo.
Los principales agentes patógenos o infecciosos son:
A.
VIRUS: son organismos acelulares, por lo que no
se consideran vivos. Constan de una cápsula
proteica con ácido nucleico (ADN o ARN ) en su
interior. Necesitan una célula para reproducirse.
Producen enfermedades como el SIDA, la gripe, el
sarampión, la COVID-19,la rabia, hepatitis,
poliomielitis…
B.
BACTERIAS: organismos unicelulares procariotas.
Se encuentran en todos los medios y tienen todos
los tipos de nutrición. Se reproducen
asexualmente por bipartición.
Provocan enfermedades como pneumonía, cólera,
tuberculosis, tétanos, difteria...
C.
HONGOS: organismos uni o pluricelulares
eucariotas heterótrofos. Se reproducen por
esporas.
Causan enfermedades como la tiña, el pie de atleta, la
candidiasis...
D.
PROTOZOOS: organismos unicelulares eucariotas
heterótrofos. De vida libre o parásitos.
Originan algunas de las peores enfermedades que ha
padecido y padece la humanidad: malaria o
paludismo, enfermedad del sueño, disentería...
E.
PRIONES: (de protein infection)son simples
proteínas de estructura anómala que provocan
daños en el sistema nervioso.
Ocasionan enfermedades llamadas, en general,
encefalopatías espongiformes: EEB (encefalopatía
espongiforme bovina o enfermedad de las ‘vacas locas’),
tembladera de ovejas y cabras. En humanos provoca la
enfermedad de Kreutzfeldt-Jacob o el kuru.
F. ENFERMEDADES CAUSADAS POR ANIMALES
PARÁSITOS
Existen numerosas especies de animales capaces de
causar o transmitir enfermedades infecciosas a los
humanos.
Los hay ectoparásitos (viven en la superficie del
cuerpo y son vectores de enfermedades): piojos,
pulgas, garrapatas, sanguijuelas,…
Otros son endoparásitos, pues penetran en el interior
del cuerpo, donde desarrollan ciclos más o menos
complejos que pueden incluir varios hospedadores
intermedios antes de llegar al humano, hospedador
definitivo. La mayoría son gusanos planos o cilíndricos.
Anisakiasis: infestación debida a un nemátodo
(gusano cilíndrico) de unos 2 cm llamado
anisakis. El gusano vive en pescados y moluscos
y se transmite al comer estos alimentos poco
cocinados.
Al principio produce típicos síntomas alérgicos
(urticaria, inflamación) que pueden agravarse
hasta un choque anafiláctico. Tras varios días
aparecen síntomas digestivos (dolor, náuseas,
vómitos, diarreas). Puede agravarse hasta la
perforación del intestino y la colonización de
hígado y páncreas.
La prevención consiste en quitar las vísceras del
pescado y cocinarlo, al menos, a 60 ºC; o bien
tenerlo previamente congelado a -20 ºC durante
48 horas.
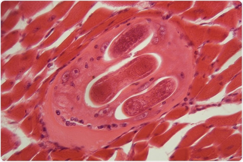
Triquinosis: infestación causada por la triquina
(Trichinella spiralis) un nemátodo habitual en
carne de cerdo y jabalí.
El gusano forma quistes en el músculo y, tras su
ingesta, sale del quiste e invade el corazón y el
diafragma, donde forma nuevos quistes, aunque
también puede llegar a pulmones y encéfalo.
Provoca vómitos, diarreas, fiebre, dolor muscular,
arritmias, encefalitis,…
La prevención radica en el análisis de las carnes
antes de su consumo y evitar carnes crudas.
Teniasis: infestación causada por parásitos
intestinales llamados “solitarias”, platelmintos
(gusanos planos) del género Taenia (T. solium, T.
saginata).
Las tenias pueden medir hasta 10 metros y
constan de una cabeza o escólex (con garfios y
ventosas para fijarse al huésped) y un largo
cuerpo con anillos llamados proglótides. Carecen
de boca o intestino y absorben los nutrientes por
su superficie.
Los animales (cerdos o vacas)n se contaminan por
comer en sitios con contaminación fecal. Los
humanos adquieren el parásito al comer la carne
de estos animales.
Suele ser bastante asintomática, salvo irritación
intestinal y síntomas de desnutrición.
La prevención radica en la sanidad animal y evitar
el consumo de carne cruda.
“Para ir a donde no se sabe hay que ir por donde no se sabe.” San Juan de la Cruz
“It must be a strange world not being a scientist, going through life not knowing--or
maybe not caring about where the air came from, where the stars at night came from
or how far they are from us. I WANT TO KNOW” Michio Kaku
“Nullius in verba” Robert Boyle, Christopher Wren y Robert Hooke
Vídeo de anisakis en pescado grabado por
alumnos en un supermercado local.
El virus del Ébola
Causas de muertes anuales en el mundo
Imagen 3D del SARS-CoV-2 dentro de una célula
Causas de muerte en los 5 primeros meses de 2020
Cisticercos en el encéfalo
Efectos a largo plazo de la COVID.
Sarah, asistente basado en inteligencia
artificial de la Organización Mundial de
la Salud
El fin de la polio 3
En 2019 se anunció oficialmente
qye la poliomielitis tipo 3 había sido
erradicada. La tipo 2 fue erradicada
en 2015, por lo que sólo queda la
tipo1, cada vez menos extendida:
sólo quedan casos en Afganistán y
Pakistán.
Xataka Ciencia