BIOLOGÍA Y GEOLOGÍA

APARATOS CIRCULATORIO Y EXCRETOR

2. EL APARATO EXCRETOR

La excreción es un proceso mediante el cual se retiran del organismo los productos de desecho resultantes de la actividad celular (metabolismo). Esos productos de desecho están muy diluidos en la sangre (de lo contrario serían dañinos, dado su efecto tóxico) y en el acto de la excreción, en el riñón, al salir desde la sangre, lo hacen con gran cantidad de agua. Además algunas substancias útiles escapan inevitablemente con ellos. El riñón es capaz de recuperar casi toda el agua y la mayoría de las substancias útiles, por ello tiene una estructura bastante compleja. Las glándulas sudoríparas eliminan substancias de desecho en forma de sudor. En los pulmones se produce la excreción de CO2 (cuando sale de la sangre hacia los alvéolos) y la posterior eliminación (cuando sale con el aire espirado). El aparato excretor está formado por los riñones, los uréteres, la vejiga urinaria y la uretra. Los riñones son los órganos encargados de la formación de la orina. La orina es producida en el riñón en forma continua y volcada en los uréteres. Los uréteres son dos largos conductos cilíndricos que conducen la orina desde los riñones, ubicados en la zona lumbar, hasta la vejiga urinaria, situada en la cavidad pélvica. La vejiga urinaria es un órgano hueco, de pared músculo- membranosa, destinada a contener la orina. La vejiga actúa como un reservorio, donde la orina se acumula temporalmente, para ser expulsada en forma periódica. La capacidad fisiológica de la vejiga es de alrededor de 350 cc, con variantes individuales. Cuando se distiende más allá de esta capacidad, aparece el deseo de orinar. La expulsión de la orina recibe el nombre de micción. La uretra es el órgano excretor terminal, por donde la orina se vuelca al exterior. El orificio externo de la uretra es el meato urinario. La sangre entra en el riñón desde la arteria aorta a través de las arterias renales. Una vez filtrada, sale por las venas renales, que desembocan en la vena cava inferior.

A. LOS RIÑONES

El riñón es un órgano par, situado en la pared posterior de la cavidad abdominal, en la zona lumbar. Está cubierto por la cápsula renal, mide unos 12 cm de largo y pesa alrededor de 150 gramos. El riñón presenta un borde externo convexo y un borde interno cóncavo En este último se encuentra el hilio renal, a través del cual ingresan al riñón los vasos sanguíneos (la arteria renal y la vena renal), los nervios, y por donde emerge la pelvis renal. La pelvis renal es un ensanchamiento en forma de embudo, donde convergen los cálices renales, conductos que recogen la orina producida en el riñón. De la pelvis renal se origina el uréter. Internamente, en el riñón se distinguen dos zonas: la externa, o corteza, y la interna, o médula. La corteza es de color oscuro y aspecto granulado. La médula, más clara y estriada, está recorrida por unas estructuras llamadas pirámides de Malpighi, separadas por columnas. A la altura de los vértices, las pirámides presentan una zona por donde la orina drena hacia un cáliz, y de allí a la pelvis renal.

B. LAS NEFRONAS

Microscópicamente se puede reconocer a las unidades anatómicas y funcionales del riñón, los túbulos renales, también llamados nefronas, las cuales se extienden tanto por la corteza como por la médula del órgano. Las nefronas son túbulos que se inician con un extremo cerrado, mientras que su extremo opuesto se abre en un tubo colector. El extremo cerrado de la nefrona está hundido, formando una especie de copa, la cápsula de Bowman, en cuya concavidad se aloja un ovillo de vasos capilares que recibe el nombre de glomérulo. A la cápsula de Bowman le sigue una porción flexuosa de la nefrona, el túbulo contorneado proximal. El túbulo contorneado proximal se continúa con el asa de Henle, en forma de U. El asa de Henle consta de una rama descendente, delgada, y una rama ascendente, gruesa. La última porción del nefrón se encuentra en la zona cortical; es el túbulo contorneado distal, que desemboca en el conducto colector. Varios túbulos contorneados distales desembocan en un tubo colector común. Éstos descienden desde la corteza hacia la médula y convergen en los cálices (en los vértices de las pirámides de Malpighi), los cuales se reúnen en la pelvis renal; de la pelvis renal nace el uréter.

C. FORMACIÓN DE LA ORINA

La formación de la orina consta de dos procesos: filtración y reabsorción. Filtración: La sangre en el glomérulo tiene mucha presión, por lo que gran parte del plasma sale de los capilares y van a la nefrona. El líquido así formado es el filtrado glomerular, que contiene agua y sustancias disueltas como glucosa, vitaminas, aminoácidos, sales y urea. Reabsorción: parte del agua y las sales, así como todas las sustancias útiles (aminoácidos, glucosa, vitaminas) son reabsorbidas, pasando de la nefrona otra vez a la sangre. El resto continúa por la nefrona hasta los tubos colectores. El resultado es un líquido amarillento formado por agua, sales y urea: la orina. La orina se conducirá hasta los tubos colectores y de éstos a los uréteres, que la llevarán a la vejiga urinaria, de donde saldrá al exterior por la uretra.

ACTIVIDADES DE AUTOEVALUACIÓN

“Para ir a donde no se sabe hay que ir por donde no se sabe.” San Juan de la Cruz “It must be a strange world not being a scientist, going through life not knowing--or maybe not caring about where the air came from, where the stars at night came from or how far they are from us. I WANT TO KNOW” Michio Kaku “Nullius in verba” Robert Boyle, Christopher Wren y Robert Hooke
Mas100cia @Mas100Cia 3º ESO BG1BTO BIO2BTO
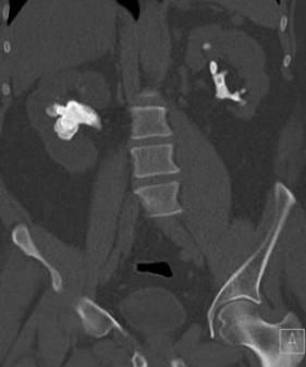
Cuatro imágenes de cálculos renales coraliformes.
Radiografía de una persona con 3 riñones.