3.7. ENFERMEDADES CAUSADAS POR PRIONES

Los priones son proteínas infecciosas causantes de enfermedades neurodegenerativas llamadas encefalopatías espongiformes. Afecta al ganado bovino (enfermedad de las vacas locas), ovino y caprino (tembladera o scrapie) y a humanos (Creutzfeldt-Jakob, kuru). La proteína priónica es una variante anormal de proteínas que se encuentran en el encéfalo. Se diferencia es la forma de plegarse (anómala), capaz de alterar el plegamiento de las proteínas normales y convertirlas en priónicas. Se produce así una reacción en cadena, con la producción masiva de proteínas priónicas que se acumulan y forman placas amiloides. Éstas destruyen tejido nervioso del encéfalo, lo que provoca el aspecto esponjoso que da nombre a la enfermedad. En humanos, la enfermedad de Kreutzfeldt-Jakob puede aparecer en ancianos sin causa conocida, ser de carácter genético o provocada por la ingesta de tejido nervioso infectado (vacas, kuru) o por contaminación de material quirúrgico. Tras la infección aparecen una serie de síntomas neurodegenerativos diversos que terminan en el coma y la muerte del paciente. La prevención consiste en el sacrificio de los animales infectados y una higiene y precaución extrema por parte del personal sanitario.

3.8 ENFERMEDADES CAUSADAS POR ANIMALES

PARÁSITOS

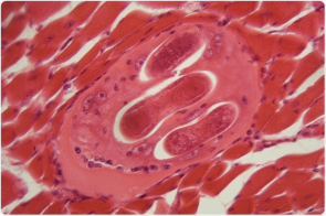
Existen numerosas especies de animales capaces de causar o transmitir enfermedades infecciosas a los humanos. Los hay ectoparásitos (viven en la superficie del cuerpo y son vectores de enfermedades: piojos, pulgas, garrapatas, sanguijuelas,… Otros son endoparásitos, pues penetran en el interior del cuerpo, donde desarrollan ciclos más o menos complejos que pueden incluir varios hospedadores intermedios antes de llegar al humano, hospedador definitivo. La mayoría son gusanos planos o cilíndricos. Anisakiasis: infestación debida a un nemátodo (gusano cilíndrico) de unos 2 cm llamado anisakis. El gusano vive en pescados y moluscos y se transmite al comer estos alimentos poco cocinados. Al principio produce típicos síntomas alérgicos (urticaria, inflamación) que pueden agravarse hasta un choque anafiláctico. Tras varios días aparecen síntomas digestivos (dolor, náuseas, vómitos, diarreas). Puede agravarse hasta la perforación del intestino y la colonización de hígado y páncreas. La prevención consiste en quitar las vísceras del pescado y cocinarlo, al menos, a 60 ºC; o bien tenerlo previamente congelado a -20 ºC durante 48 horas. Triquinosis: infestación causada por la triquina (Trichinella spiralis) un nemátodo habitual en carne de cerdo y jabalí. El gusano forma quistes en el músculo y, tras su ingesta, sale del quiste e invade el corazón y el diafragma, donde forma nuevos quistes, aunque también puede llegar a pulmones y encéfalo. Provoca vómitos, diarreas, fiebre, dolor muscular, arritmias, encefalitis,… La prevención radica en el análisis de las carnes antes de su consumo y evitar carnes crudas. Teniasis: infestación causada por parásitos intestinales llamados “solitarias”, platelmintos (gusanos planos) del género Taenia (T. solium, T. saginata). Las tenias pueden medir hasta 10 metros y constan de una cabeza o escólex (con garfios y ventosas para fijarse al huésped) y un largo cuerpo con anillos llamados proglótides. Carecen de boca o intestino y absorben los nutrientes por su superficie. Los animales (cerdos o vacas)n se contaminan por comer en sitios con contaminación fecal. Los humanos adquieren el parásito al comer la carne de estos animales. Suele ser bastante asintomática, salvo irritación intestinal y síntomas de desnutrición. La prevención radica en la sanidad animal y evitar el consumo de carne cruda.
BIOLOGÍA Y GEOLOGÍA
“Para ir a donde no se sabe hay que ir por donde no se sabe.” San Juan de la Cruz “It must be a strange world not being a scientist, going through life not knowing--or maybe not caring about where the air came from, where the stars at night came from or how far they are from us. I WANT TO KNOW” Michio Kaku
Mas100cia @Mas100Cia

SALUD Y ENFERMEDAD

Vídeo de anisakis en pescado grabado por alumnos en un supermercado local.
“The Host”, obra del pintor Ben Taylor basada en la infección por el gusano Loa loa que él mismo padeció.