LA CÉLULA

BIOLOGÍA Y GEOLOGÍA

7. LA CÉLULA VIVA

La célula es la unidad más pequeña que puede considerarse viva. En su estructura intervienen moléculas inorgánicas (agua y sales minerales) y orgánicas (glúcidos, lípidos, proteínas y ácidos nucleicos). La forma de las células es muy variable y está relacionada con la función. Las hay muy pequeñas (espermatozoide) y muy grandes (óvulo, neuronas, fibras musculares). Normalmente entre 20 y 100 μm.

7.1. ORGANISMOS UNI Y PLURICELULARES

Los primeros organismos que habitaron la Tierra eran seres unicelulares. Aún hoy día, existen multitud de ellos. Sin embargo, hace más de 1.000 millones de años, las células eucariotas comenzaron a agruparse y terminaron formando seres pluricelulares. Los organismos pluricelulares están formados por numerosas células, todas las cuales proceden de una o varias células iniciales (normalmente un cigoto), que se divide por mitosis. Esto significa que todas las células de un ser pluricelular son genéticamente idénticas. Sin embargo, dichas células son morfológica y funcionalmente diferentes. La causa está en la diferenciación celular. La diferenciación celular consiste en que las células se especializan en una función determinada y dejan de tener la capacidad de dividirse. La especialización permite la división del trabajo: cada grupo de células puede dedicarse a una función específica, lo que resulta en una mayor eficacia de los organismos pluricelulares.

7.2. COMPONENTES CELULARES

Todas las células poseen tres estructuras básicas comunes: membrana plasmática, citoplasma y material genético. MEMBRANA PLASMÁTICA Es una envoltura lipoproteica que rodea, limita y protege a la célula. La membrana controla el intercambio de sustancias con el medio y es el órgano de relación de la célula. CITOPLASMA El citoplasma es el contenido de la célula. Está formado por una disolución acuosa, el citosol, donde hay sales y moléculas orgánicas disueltas. Dentro del citoplasma hay numerosos orgánulos, con o sin membrana, que realizan las diferentes funciones de la célula. MATERIAL GENÉTICO El material genético en toda las células es ADN (ácido desoxirribonucleico), una compleja y enorme molécula de ácido nucleico que contiene la información genética. El ADN controla la actividad celular, incluida la división, y se reparte equitativamente entre las células hijas.

8. MODELOS DE ORGANIZACIÓN

Aunque la célula es la unidad estructural y funcional de los seres vivos, existen estructuras formadas por biomoléculas orgánicas y que son muy importantes para los seres vivos. Entre ellas destacan los virus.

8.1. ORGANIZACIÓN ACELULAR: LOS VIRUS

Los virus son organismos muy sencillos, sin estructura celular. Su pequeño tamaño (10 a 400 nm), cientos de veces menor que una célula, hace que se requiera un microscopio electrónico para su observación. Carecen de metabolismo propio, por lo que son parásitos obligados de diferentes tipos de células (procariotas o eucariotas). Constan de un material genético (ácido nucleico, que puede ser ARN o ADN, pero nunca ambos) y una envoltura proteica llamada cápsida. Algunos virus poseen, además, una envoltura membranosa obtenida de las células que parasitan.

8.2. MODELOS DE ORGANIZACIÓN CELULAR

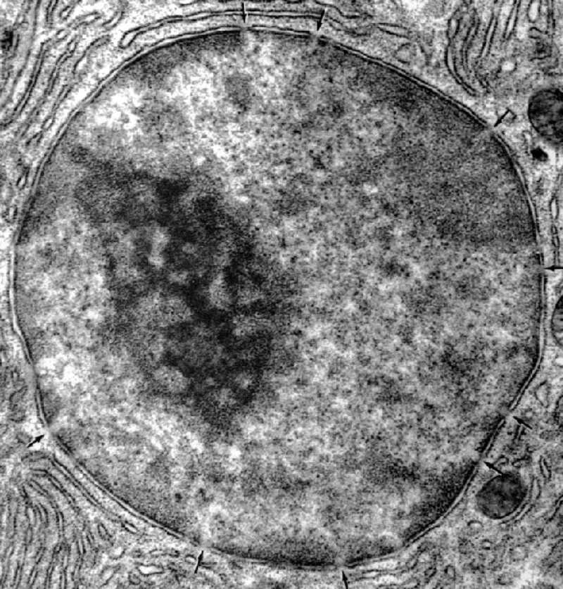
Según su complejidad estructural, existen dos tipos de organización celular: procariota y eucariota. 8.2.1. CÉLULA PROCARIOTA (De pro, antes de, y carion, núcleo). Son células de estructura sencilla, pues su citoplasma carece de orgánulos membranosos y de verdadero núcleo. Suelen presentar una pared celular que rodea a la membrana y una única cadena de ADN, circular y dispersa en el citoplasma (nucleoide), así como otras cadenas más pequeñas de ADN (plásmidos). En el citoplasma hay ribosomas que fabrican proteínas. Las bacterias y las arqueas son los únicos procariotas. Todos unicelulares. 8.2.2. CÉLULA EUCARIOTA (De eu, verdadero). Son células de estructura compleja, con orgánulos celulares membranosos y un material genético rodeado por una doble membrana (núcleo verdadero). Son organismos eucariotas las algas, protozoos, hongos, plantas y animales. Pueden ser uni o pluricelulares. Existen dos tipos de organización eucariota: la célula animal y la célula vegetal. LA CÉLULA EUCARIOTA ANIMAL Muy compleja y con elevada actividad metabólica. Consta de: Membrana plasmática. Bicapa lipídica de fosfolípidos y colesterol con proteínas y glúcidos. Controla el paso de sustancias y se encarga de la comunicación celular. Citosol. Medio acuoso del citoplasma donde transcurre gran parte del metabolismo. Contiene enzimas, inclusiones y biomoléculas. Citoesqueleto. Conjunto de filamentos proteicos de diferente grosor (microtúbulos, microfilamentos y filamentos intermedios) que dan forma a la célula y contribuyen a su movimiento y el de los orgánulos, incluidos los cromosomas durante la división celular. Núcleo Orgánulo membranoso de gran tamaño. Tiene doble membrana y contiene la cromatina (ADN asociado a proteínas histónicas), así como uno o varios nucleolos. Centrosoma. Región densa del citoplasma, común a animales y vegetales, donde se fabrican los microtúbulos. En las células animales contiene 2 centriolos, estructuras cilíndricas perpendiculares formadas por 9 grupos de 3 microtúbulos cada uno. Los centriolos contribuyen a la formación del huso acromático en la división celular, la formación de cilios y flagelos y a organizar el resto de microtúbulos. Ribosomas. Orgánulos no membranosos. Formados por dos subunidades con ARN (ácido ribonucleico) y proteínas). Sintetizan proteínas (traducción del ARNm). Pueden estar libres o adheridos a la membrana del RER y del núcleo. Retículo endoplasmático (RE). Red de espacios membranosos interconectados entre sí y con la membrana plasmática y la nuclear. Hay un RE liso, túbulos aplanados sin ribosomas, que sintetiza lípidos y elimina sustancias de desecho; y un RE rugoso, sáculos aplanados con ribosomas, que sintetiza proteínas. Aparato de Golgi. Sáculos membranosos apilados. Modifica, secreta y distribuye sustancias elaboradas en el RE mediante vesículas que van a la membrana plasmática o al exterior celular. Mitocondrias. Orgánulos con doble membrana, una externa lisa y otra interna con numerosos pliegues llamados crestas. Su espacio interior se denomina matriz. Son las encargadas de obtener la mayor parte de la energía celular mediante la respiración celular aerobia. Lisosomas. Vesículas membranosas formadas en el Golgi. Contienen hidrolasas, enzimas digestivas para la digestión intracelular. LA CÉLULA EUCARIOTA VEGETAL Tienen una organización semejante a la animal. Contiene los mismos orgánulos, salvo los centríolos (y, por tanto, tampoco tienen cilios y flagelos). Se comunican mediante perforaciones de la pared llamadas plasmodesmos. La célula vegetal contiene las siguientes estructuras exclusivas: Pared celular. Envoltura rígida por fuera de la membrana plasmática. Está formada principalmente por celulosa. Existe una pared primaria, delgada y flexible, típica de células jóvenes; y una pared secundaria, gruesa y rígida, en células adultas. Plastos. Orgánulos con doble membrana y diferentes tipos. Amiloplastos: almacenan almidón. Cromoplastos: plastos que almacenan pigmentos que dan color a flores, raíces y frutos. Oleoplastos: almacenan lípidos. Proteinoplastos: almacenan proteínas. Cloroplastos: de color verde, contienen pigmentos diversos y membranas internas (tilacoides) dentro de un espacio interior o estroma. En los tilacoides, agrupados en sacos apilados (grana) están los pigmentos para realizar la fotosíntesis. Vacuolas: orgánulos membranosos de gran tamaño que realizan diversas funciones: ósmosis (control de la entrada y salida de agua), digestión, almacén de nutrientes y desechos, etc. EL NÚCLEO CELULAR El núcleo es un orgánulo membranoso presente en las células eucariotas. Controla la actividad celular y la división gracias al ADN, material genético que almacena la información hereditaria de la célula. Su forma, número y tamaño es variable, dependiendo del tipo de célula. COMPONENTES DEL NÚCLEO El núcleo es una estructura compleja, formada por: la membrana nuclear, el nucleoplasma, el nucleolo y la cromatina. Membrana nuclear: es una doble membrana, de composición similar a la plasmática. Se continúa con el retículo endoplasmático rugoso y presenta ribosomas en su superficie externa. La membrana nuclear está atravesada por numerosos orificios, los poros nucleares, que permiten el intercambio de sustancias entre el núcleo y el citoplasma. Nucleoplasma: líquido interno del núcleo, formado por una disolución acuosa de diversas sustancias que intervienen en la actividad nuclear. Nucleolo: región densa del núcleo donde se concentra el material genético implicado en la fabricación de ribosomas, así como fragmentos de éstos. Cromatina: es ADN unido a proteínas estructurales, como las histonas. Consta de numerosas cadenas lineales de diferente longitud, cuyo número es característico de cada especie. En los seres humanos hay 46 filamentos. CROMATINA Y CROMOSOMAS Durante la mayor parte de su ciclo vital, las células no se dividen, sino que realizan su actividad normal. Esta fase de su ciclo es la interfase. Durante la interfase el ADN está descondensado, repartido por el nucleoplasma en forma de cromatina, no visible al microscopio óptico. Cuando la célula va a dividirse, duplica el ADN y condensa la cromatina, con lo que aparecen filamentos cortos y densos, con forma de X, llamados cromosomas. Según el número de juegos de cromosomas que posean, las células y los organismos se clasifican en: Diploides (2n): células con 2 juegos de cromosomas, uno paterno y otro materno, que forman parejas de homólogos. Los cromosomas homólogos llevan información para los mismos caracteres, pero no necesariamente la misma información. Haploides (n): células con un único juego de cromosomas. Esporas, gametos, algunas algas, hongos e incluso algunos animales. Poliploides: células con 3 (triploides, 3n), 4 (tetraploides, 4n) o más juegos de cromosomas.
Para ir a donde no se sabe hay que ir por donde no se sabe.” San Juan de la Cruz “It must be a strange world not being a scientist, going through life not knowing--or maybe not caring about where the air came from, where the stars at night came from or how far they are from us. I WANT TO KNOW” Michio Kaku “Nullius in verba” Robert Boyle, Christopher Wren y Robert Hooke